Première visite chez le dentiste
Articles similaires
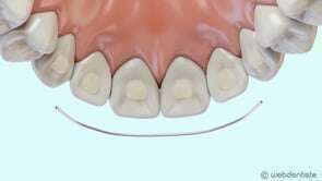
Contention de Hawley
Vidéos 3D
Traitement multi-attaches
Vidéos 3D
- À la une (3)
- Coûts et prise en charge (1)
- Incidents et urgences orthodontiques (1)
- Informations générales dentaires (39)
- L'orthodontie de l'adulte (6)
- La réussite d'un traitement (11)
- Les enfants & les adolescents (20)
- Orthodontie (91)
- Qu'est-ce que l'orthodontie ? (18)
- Questions fréquentes en orthodontie (3)